i djece
Moderna oprema.
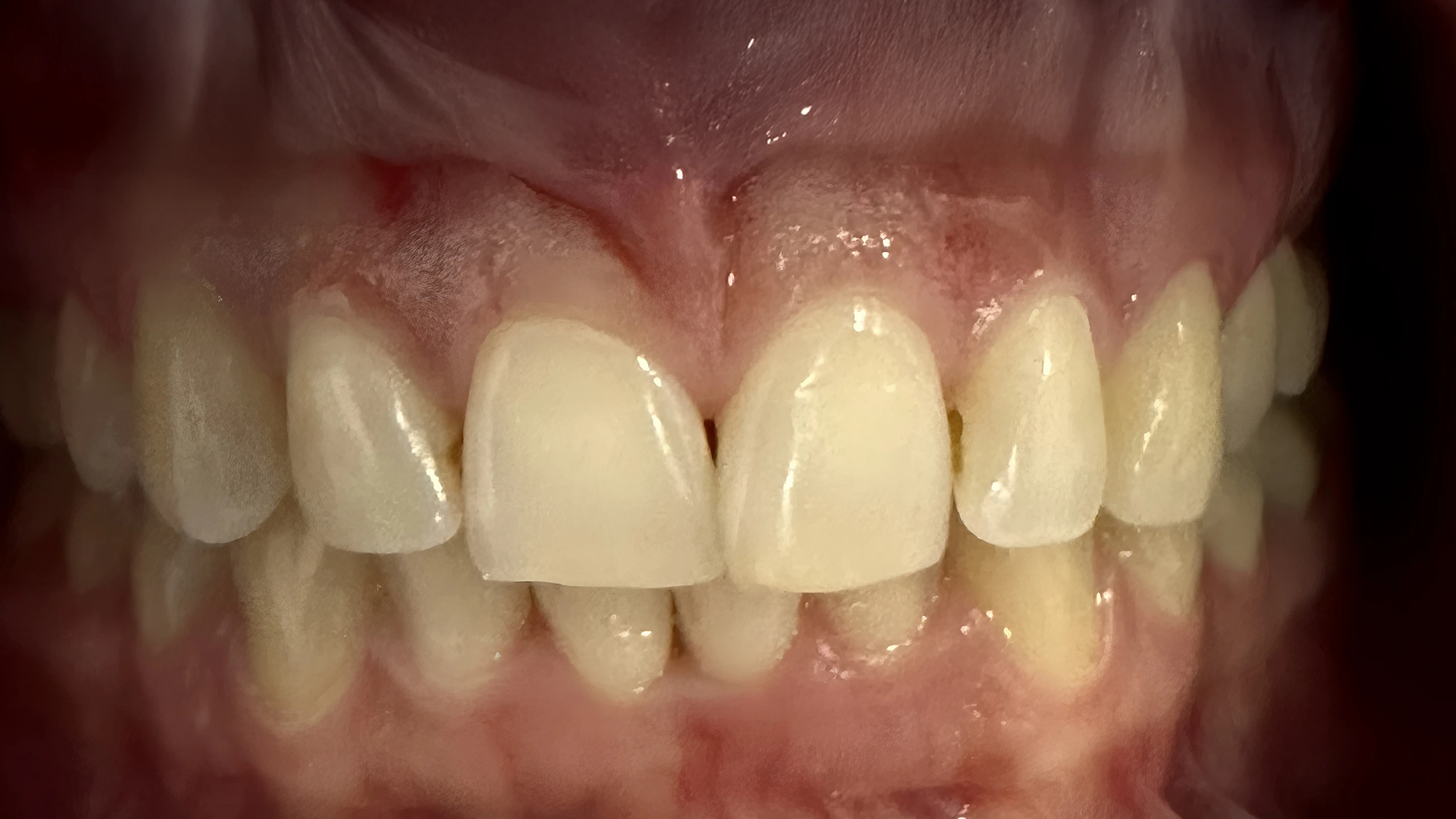
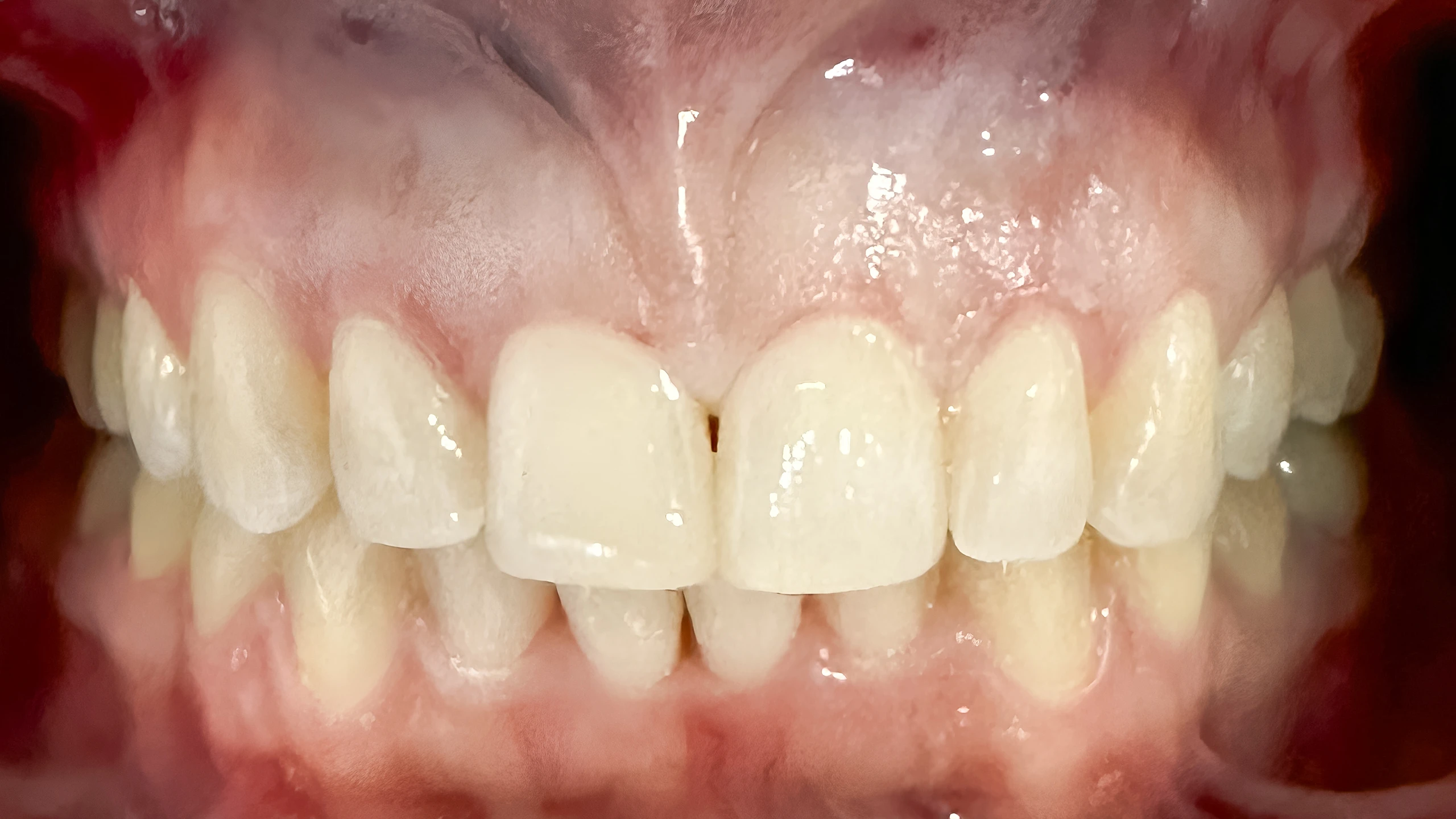
Osmijesi bez straha.
iskustva
Clinic
Minimalna bol.
Maksimalna briga
o pacijentu.
Dentartis stomatološka ordinacija
Estetska stomatologija
Digitalna dijagnostika
Dječja stomatologija
Zdravi zubi i desni počinju redovitom brigom
U našoj Dentartis stomatološka ordinaciji njegujemo zdrav osmijeh kroz profesionalne tretmane i svakodnevne savjete – jer dobra oralna higijena ne prestaje nakon pregleda.
Naš je fokus vaše cjelokupno zdravlje i postizanje savršenog osmijeha bez nelagode.
dr. Viktorija Đurđević Miljuš
voditeljica ordinacije



Upoznajte dr. Viktoriju Đurđević Miljuš
S vizijom stvaranja sigurne i prijateljske atmosfere, dr. Viktorija vodi svoju ordinaciju s posvećenošću svakom osmijehu. Kroz godine rada, razvila je nježan i personaliziran pristup koji pacijentima ulijeva povjerenje.
Zašto odabrati nas
Više od 10 godina iskustva
Individualni pristup svakom pacijentu
Moderna oprema (ortopan)
Bezbolni tretmani uz najsuvremeniju tehnologiju
Prvo iskustvo kod doktorice je bio hitan slučaj. Primljena sam isti dan kad sam nazvala, zub je bio za liječenje, a doktorica je uz hitan prijem i spašavanje mog zuba pronašla vremena za ugodan informativni razgovor o mojoj ukupnoj situaciji i od sada na dalje svakako posjećujem samo Stomatološku polikliniku Dentartis!
Marina Kiš
Odlična doktorica, sve preporuke. Izuzetno stručna doktorica, vrlo vješta.
Boravak na zubarskom stolcu više nije nikakkav problem, sve prođe vrlo brzo i bezbolno.
Helena Polić
Definitvno primjer za ostale.
Izrazito ljubazna doktorica koja svoj posao odrađuje savršeno, bez straha od odlaska i puna razumijevanja!
Lidija Borak
Ljubazna i susretljiva.
SUPER JE, kompetentna i profesionalna, vidljivo sa velikim iskustvom i na visokom nivou stručnosti.

